Dental Smile Gallery – Langley, WA
Smiles That Speak for Themselves
While our team loves talking about dentistry and discussing the many benefits it can have for someone’s health and appearance, in today’s world, seeing is believing. We’re extremely proud of the smiles we’ve helped create over the years, and after looking through the images below, it will be obvious why multiple generations of Langley locals have relied on us for their care.
SELECT AN IMAGE BELOW TO SEE TRANSFORMATION
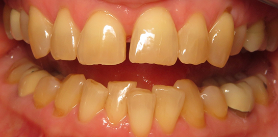
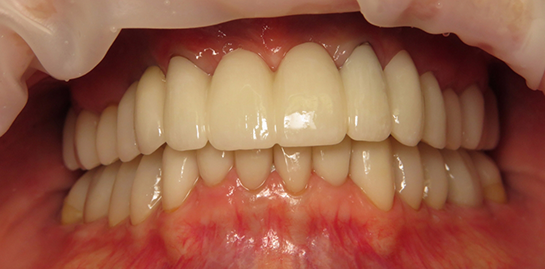
Pt presented with TMD pain, deep bite, worn dentition. Tx was TMD tx with fixed orthotic, Full mouth Crowns.
Orthodontics and anterior crowns
Decayed and worn anterior teeth. Tx was 4 anterior ceramic crowns.
pt presented with severely worn dentition and TMJ pain. tx was fixed orthotic to resolve tmj pain and then crowns on all teeth.
“I’m very pleased with the work” – Ian Montgomery
Full mouth reconstruction and dental facelift by increasing vertical dimension of occlusion. See how profile is improved and she looks younger. Tx completed was bite rehabilitation with fixed orthotic, then ceramic crowns on all teeth.
Pt presents with TMJ pain, severe tooth wear and malocclusion. Tx: orthotic to find proper bite position and reslove TMJ sxs, Full mouth ceramic crowns.
pt presented with severe TMJ pain, Malocclusion. Tx was fixed orthotic to resolve TMJ pain, find proper bite position. Then Crowns all lower teeth and upper anterior 6.
David had severely worn front teeth from bruxism and end to end bite relationship. Corrected bite relationship and rebuilt worn teeth with 4 anterior all ceramic crowns.
Full mouth crowns. TMJ pain corrected with fixed orthotic, then full mouth crowns.
6 anterior crowns and lower anterior fillings to replace failing Porcelain fused to metal crowns.
Broken #9. Non-matching centrals. Tx: crowns #8 and veneer #9
Full mouth reconstruction. Several failing crowns and fillings, large embrasure spaces. Tx was fixed orthotic to find proper bite position, then crowns on all teeth.
Crowns #6-11 to replace broken, stained teeth and old unesthetic PFM crowns.
TMD patient with severe jaw pain and clicking and popping. Severe tooth wear and end to end occlusion. TMJ treatment, ortho, crowns #7-10
Severe anterior wear. Pt liked the gap between her front teeth. Tx: 6 upper anterior ceramic crowns.
Close